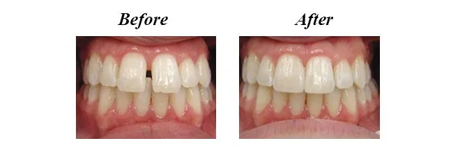
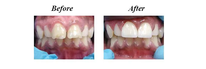
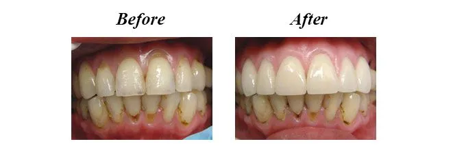
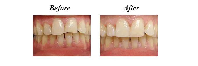
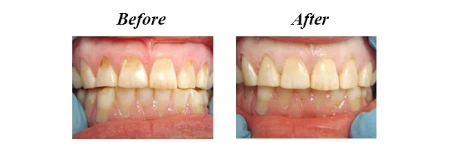
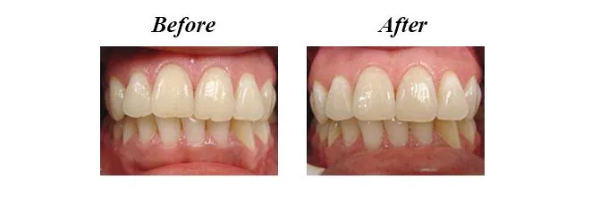
Smile Gallery

Before and After Dental Photos - Smile Makeovers Clifton, NJ


background image

Contact Us

Office Hours

Monday:

8:00 am-5:00 pm

Tuesday:

8:00 am-5:00 pm

Wednesday:

Closed

Thursday:

8:00 am-4:00 pm

Friday:

8:00 am-4:00 pm

Saturday:

Closed

Sunday:

Closed